Markham & Scarborough Dental Bridges

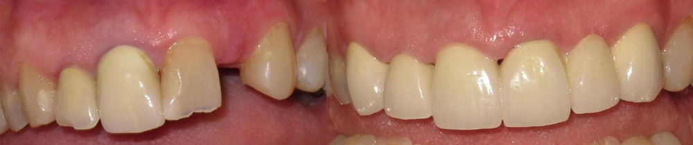
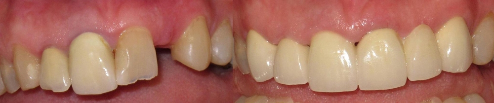
Dental bridges are used to replace missing teeth. They do so by getting anchored onto the two neighbouring teeth of the gap. A bridge is made up of a set of dental crowns attached to each other. A crown on each end of the bridge gets anchored to the neighbouring tooth of the missing teeth and the false teeth in between hide the gap. Bridges are fixed restorations, cemented securely to your teeth and not meant to be removed. They are a great, durable and strong restorative solution. As a tooth replacement procedure, dental bridges offer many aesthetic, functional and health benefits. Replacing the missing tooth/teeth will prevent your remaining teeth from drifting, tipping, over-erupting and resulting in gum disease and decay. They look, feel and function just like natural teeth, but the only setback is that the two adjacent teeth have to be prepared and reduced to size. They restore your ability to eat, chew, speak and smile comfortably.

Dental Bridges

At Avatar Dental, we’ll gladly answer all your questions about dental bridges and based on your examination, we’ll recommend the most suitable tooth replacement procedure for you.

Contact us today to book an appointment for your dental needs!


Enter your information below.

By submitting this form, you agree to receive communications from our practice. You may unsubscribe at any time.

This will close in 0 seconds


Enter your information below.

By submitting this form, you agree to receive communications from our practice. You may unsubscribe at any time.

This will close in 0 seconds


Enter your information below.

By submitting this form, you agree to receive communications from our practice. You may unsubscribe at any time.

This will close in 0 seconds


Enter your information below.

By submitting this form, you agree to receive communications from our practice. You may unsubscribe at any time.

This will close in 0 seconds


Enter your information below.

By submitting this form, you agree to receive communications from our practice. You may unsubscribe at any time.

This will close in 0 seconds


Enter your information below.

By submitting this form, you agree to receive communications from our practice. You may unsubscribe at any time.

This will close in 0 seconds


Enter your information below.

By submitting this form, you agree to receive communications from our practice. You may unsubscribe at any time.

This will close in 0 seconds

Verified by MonsterInsights