Markham & Scarborough Inlays & Onlays

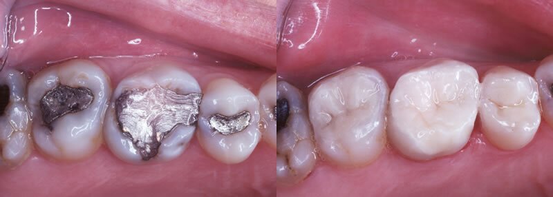
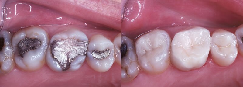
Inlays and onlays are large porcelain fillings used when the decay on a tooth is between 1/3 and 5/6 of the tooth. Inlays and onlays are pre-formed porcelain pieces that have been shaped to a mould of the tooth’s original surface and the new surface of the cleaned out tooth. This piece is then cemented to the clean tooth to restore it to its properly functioning shape and size. Dental inlays and onlays are among many other dental procedures that restore your tooth back to its original shape, size and function. Our doctors have extensive experience in determining the most fitting restorative procedure for your case upon your dental assessment. We will discuss the procedure with you in detail and make sure that you feel comfortable and relaxed before, during and after the treatment.

Inlays

Contact us today to book an appointment for your dental needs!


Enter your information below.

By submitting this form, you agree to receive communications from our practice. You may unsubscribe at any time.

This will close in 0 seconds


Enter your information below.

By submitting this form, you agree to receive communications from our practice. You may unsubscribe at any time.

This will close in 0 seconds


Enter your information below.

By submitting this form, you agree to receive communications from our practice. You may unsubscribe at any time.

This will close in 0 seconds


Enter your information below.

By submitting this form, you agree to receive communications from our practice. You may unsubscribe at any time.

This will close in 0 seconds


Enter your information below.

By submitting this form, you agree to receive communications from our practice. You may unsubscribe at any time.

This will close in 0 seconds


Enter your information below.

By submitting this form, you agree to receive communications from our practice. You may unsubscribe at any time.

This will close in 0 seconds


Enter your information below.

By submitting this form, you agree to receive communications from our practice. You may unsubscribe at any time.

This will close in 0 seconds