Markham & Scarborough Dental Implants

Dental implants are used to replace missing teeth that are lost due to tooth decay, gum disease, bad bites, or trauma (accidents). With the teeth missing, our jaws have the natural tendency of bone loss in that area. By placing a dental implant, the base of the implant (the fixture) will fill the hole left by the tooth root allowing the bone to attach to the implant. Once the implant is placed inside the jaw bone, it requires a period of 4-6 months to properly heal and for the bone to fully develop around it. Only then can the crown or denture be fabricated and attached onto the implants. Dental Implants are considered the gold standard of replacing missing teeth because of the many dental problems it solves and prevents at the same time. Implants hold the restoration firmly and securely in place, so that you can go on with your regular chewing, speaking and daily habits without worrying.

dental implants markham

Is an implant uncomfortable?

This is a very common question coming from patients, who are in need of implants or about to undergo the procedure. The implant procedure is a two-phase entity. Provided that sufficient bone is at the receiving site, the actual implant is placed inside the bone and there it stays for several months to allow for integration. The second phase will require re-exposure of the implant and a new crown is made. It is that simple. All the procedures are rendered under local anaesthetic in conjunction with either oral or IV sedation (for those who are apprehensive). One should NOT feel any extra discomfort than you would with a filling. Keep in mind though that the success of an implant depends on the upkeep of your oral hygiene at home as well as the professional hygiene sessions at your dentist’s office. Please note that soft plaque can deposit on the implant as well as your natural teeth and therefore maintenance is integral.

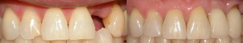
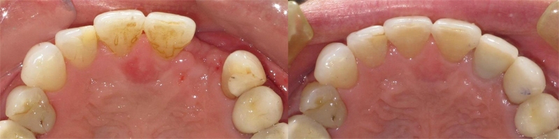
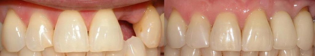
Dental Implants-Single Implant Crown-

Is it expensive to get implants?

The start-up cost maybe marginally higher than a bridge or denture (where you will need to reline at least once a year) but in the long run, it is definitely the first choice of investment! In addition, the fee for implant can be divided into two stages since several months would have elapsed before the final crown is made. Many insurance plans now have an “alternative clause” where it would allow some money to be allocated to the placement of implant. Please check your own insurance regarding your coverage.

Dental Implants

Dental Implants

Dental Implants

Dental Implants

Dental Implants

Contact us today to book an appointment for your dental needs!


Enter your information below.

By submitting this form, you agree to receive communications from our practice. You may unsubscribe at any time.

This will close in 0 seconds


Enter your information below.

By submitting this form, you agree to receive communications from our practice. You may unsubscribe at any time.

This will close in 0 seconds


Enter your information below.

By submitting this form, you agree to receive communications from our practice. You may unsubscribe at any time.

This will close in 0 seconds


Enter your information below.

By submitting this form, you agree to receive communications from our practice. You may unsubscribe at any time.

This will close in 0 seconds


Enter your information below.

By submitting this form, you agree to receive communications from our practice. You may unsubscribe at any time.

This will close in 0 seconds


Enter your information below.

By submitting this form, you agree to receive communications from our practice. You may unsubscribe at any time.

This will close in 0 seconds


Enter your information below.

By submitting this form, you agree to receive communications from our practice. You may unsubscribe at any time.

This will close in 0 seconds

Verified by MonsterInsights