Markham & Scarborough Gum Graft

A gum graft, also known as root coverage graft, is the attachment of gum tissue over the receding gum line. This procedure is used to cover exposed root surfaces, which may be causing sensitivity and pain. Reasons for a receding gum line or the breakdown of gum tissue include:

  • over enthusiastic or improper brushing and flossing
  • genetics
  • plaque and tartar
  • periodontal disease

Whether the recession is just around one tooth or across your entire smile, this procedure will help to protect your teeth, reduce sensitivity and give you a great smile. Our doctors will go through the details of the procedure carefully with you, to make sure that you’re comfortable, relaxed and understanding of all the pre-, during, and post-surgical instructions. Our entire dental team is always available to answer all your questions and make this procedure go as smoothly and as pain-free as possible for you.

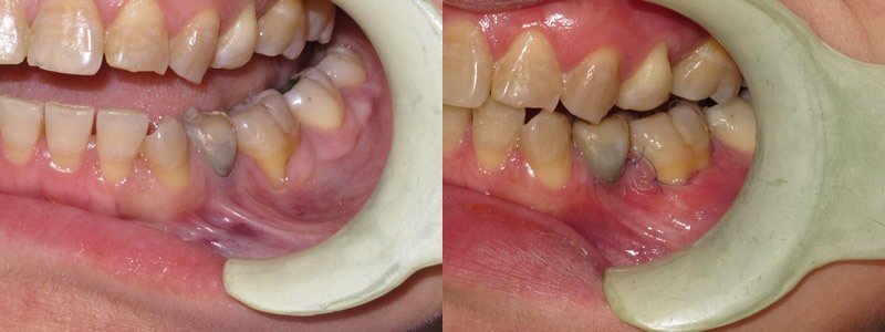
Gum Graft

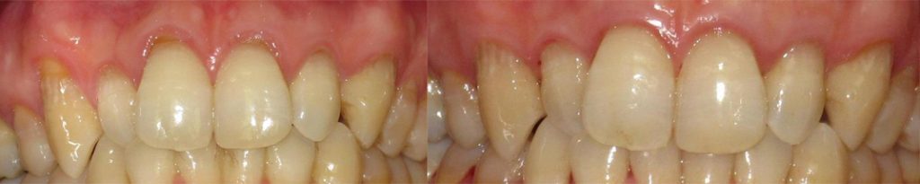
Gum Graft

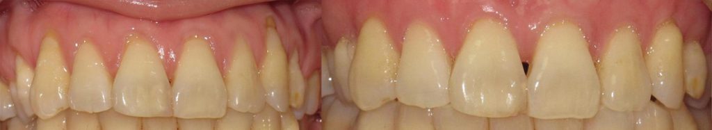
Gum Graft

Contact us today to book an appointment for your dental needs!


Enter your information below.

By submitting this form, you agree to receive communications from our practice. You may unsubscribe at any time.

This will close in 0 seconds


Enter your information below.

By submitting this form, you agree to receive communications from our practice. You may unsubscribe at any time.

This will close in 0 seconds


Enter your information below.

By submitting this form, you agree to receive communications from our practice. You may unsubscribe at any time.

This will close in 0 seconds


Enter your information below.

By submitting this form, you agree to receive communications from our practice. You may unsubscribe at any time.

This will close in 0 seconds


Enter your information below.

By submitting this form, you agree to receive communications from our practice. You may unsubscribe at any time.

This will close in 0 seconds


Enter your information below.

By submitting this form, you agree to receive communications from our practice. You may unsubscribe at any time.

This will close in 0 seconds


Enter your information below.

By submitting this form, you agree to receive communications from our practice. You may unsubscribe at any time.

This will close in 0 seconds

Verified by MonsterInsights