Markham & Scarborough Soft Tissue Laser

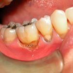
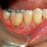
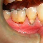
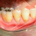
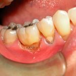
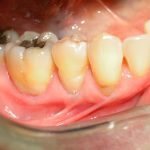
Soft tissue laser can be used in some procedures to create a less invasive process with minimal discomfort for the patient. Laser surgeries are as effective as traditional surgeries performed with a scalpel. Other than creating none-to-very minimal discomfort for the patient, with laser surgeries there is no bleeding and the gum tissue is sterilized as the laser travels. Soft tissue laser procedures that we offer are:

  • laser cutterage – removal of dead inner tissue from a gum pocket
  • laser gingivectomy – a minor surgery to remove a small amount of gum tissue around a tooth

 Tissue Laser  Tissue Laser  Tissue Laser  Tissue Laser

  • laser frenectomy – the removal of a fold of tissue or muscle connecting the lips cheek or tongue to the jawbone

 Tissue Laser

At Avatar Dental, we’re always thinking about our patients’ health, comfort and well-being. Whenever laser surgery can be performed, our doctors will recommend it as the first treatment option because we know how beneficial and convenient it is for our patients.

Contact us today to book an appointment for your dental needs!


Enter your information below.

By submitting this form, you agree to receive communications from our practice. You may unsubscribe at any time.

This will close in 0 seconds


Enter your information below.

By submitting this form, you agree to receive communications from our practice. You may unsubscribe at any time.

This will close in 0 seconds


Enter your information below.

By submitting this form, you agree to receive communications from our practice. You may unsubscribe at any time.

This will close in 0 seconds


Enter your information below.

By submitting this form, you agree to receive communications from our practice. You may unsubscribe at any time.

This will close in 0 seconds


Enter your information below.

By submitting this form, you agree to receive communications from our practice. You may unsubscribe at any time.

This will close in 0 seconds


Enter your information below.

By submitting this form, you agree to receive communications from our practice. You may unsubscribe at any time.

This will close in 0 seconds


Enter your information below.

By submitting this form, you agree to receive communications from our practice. You may unsubscribe at any time.

This will close in 0 seconds