Markham & Scarborough Dental Veneers

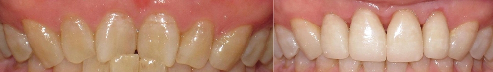
Dental Veneers are thin coverings that attach to the front of your tooth. They can be used to cover up badly stained teeth, chipped or uneven teeth, to make your smile more aesthetically pleasing to the eye. As one of the most popular cosmetic procedures, dental veneers are considered economic, quick, simple, durable and perfectly looking solutions for your cosmetic dental problem. Our doctors will be pleased to provide you with the smile of your dreams using veneers, if we see them fitting for your case. We will properly discuss the whole process with you to make sure you’re comfortable, happy and not worried about the procedure. Our whole professional dental team is always there to provide you with comfort, relaxation and to answer all your questions.

Veneers VeneersVeneers Veneers

Contact us today to book an appointment for your dental needs!


Enter your information below.

By submitting this form, you agree to receive communications from our practice. You may unsubscribe at any time.

This will close in 0 seconds


Enter your information below.

By submitting this form, you agree to receive communications from our practice. You may unsubscribe at any time.

This will close in 0 seconds


Enter your information below.

By submitting this form, you agree to receive communications from our practice. You may unsubscribe at any time.

This will close in 0 seconds


Enter your information below.

By submitting this form, you agree to receive communications from our practice. You may unsubscribe at any time.

This will close in 0 seconds


Enter your information below.

By submitting this form, you agree to receive communications from our practice. You may unsubscribe at any time.

This will close in 0 seconds


Enter your information below.

By submitting this form, you agree to receive communications from our practice. You may unsubscribe at any time.

This will close in 0 seconds


Enter your information below.

By submitting this form, you agree to receive communications from our practice. You may unsubscribe at any time.

This will close in 0 seconds

Verified by MonsterInsights